注册证号:国械注准20173244356
生产厂家:吉林省科英医疗激光有限责任公司
适应症
适用于对患者颈、胸、腰椎间盘突出症和口腔软硬组织的治疗。
颈、胸、腰椎间盘突出症:
PLDD技术是一种目前世界上运用最广泛的微创手术技术,它的特点是在CT或X光C型臂的引导下,将穿刺针插入髓核,再将激光光导纤维通过穿刺针导入髓核,利用激光发射的能量,将髓核瞬间汽化,使其形成空洞,从而形成髓核内的负压,可使椎间盘内压大幅度下降,使突出的髓核组织回缩到正常位置,解除了对硬膜囊(脊髓)和(或)神经根的压迫,使神经症状得到缓解或消失,从而达到治愈或缓解椎间盘症状的目的。
在CT或X光C型臂导引下确定目标椎间盘,设计最佳穿刺点、穿刺深度与角度,应用CT或X光C型臂导引穿刺进行定位,穿刺过程中进行CT扫描监测,使穿刺靶点与突出的椎间盘组织更加接近,达到靶点后经穿刺套管针引入激光光导纤维进行烧灼、汽化、雾化。

口腔软硬组织的治疗
牙本质过敏、激光防龋、去除龋坏组织、根管消毒、激光漂白牙齿,牙龈成形术,牙龈切除术、粘液囊肿、牙周袋内壁刮治术、口腔溃疡、黏膜白斑及扁平苔藓、激光止痛及麻醉、颞下颌关节紊乱综合征的治疗等。
激光蚀刻牙本质:激光蚀刻与酸蚀并行时修复材料的附着性极强

术前:牙本质表面 术后:激光蚀刻牙本质

激光蚀刻 酸蚀
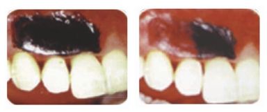
牙本质过敏的治疗:在覆盖着牙根的口腔黏膜上涂上墨水后用非接触方式照射,过敏症状会有很显著的好转。

在覆盖着牙根的口腔黏膜上涂上墨水 完成手术的部位由于墨水成分分解而颜色变淡
主要技术参数
激光器:Nd:YAG激光晶体
激光波长:1064nm
输出能量:50-900mJ
脉宽:100-150µs
激光输出方式:连续或定时输出
光束传输:光纤传导
冷却方式:内部循环水冷却,外部风冷却

